Viêm cầu thận cấp

  1. Định nghĩa bệnh viêm cầu thận cấp

  • Là quá trình viêm lan tỏa không bưng mủ ở tất cả các cầu thận của 2 thận.
  • Bệnh xuất hiện sau nhiễm trùng đường hô hấp trên và nhiễm trùng ngoài da
  1. Căn nguyên gây bệnh

  • Liên cầu tan huyết nhóm A
  • Type 12 sau nhiễm trùng đường hô hấp trên
  • Type 49, 55, 57, 60 sau nhiễm trùng ngoài dang
  1. Cơ chế bệnh sinh

Vi khuẩn (kháng nguyên), khi vào trong cơ thể sản xuất kháng thể, vàtạo phưc hợp kháng nguyên và khang thể, tạo phức hợp miễn dịch khang nguyên-khang thể, phức hợp này sẽ di chuyển, lắng đọng cầu thận, hoạt hóa bổ thể, bạch cầu, dẫn đến xảy ra phản ứng đáp ứng miễn dịch, lâu dần màng đáy bị tổn thương

  1. Dịch tễ

  • Thường gặp ở trẻ em 6-9 tuổi
  • Khởi phát sau nhiễm khuẩn hầu họng 1-3 tuần, ngoài da sau 6 tuần
  • Ở việt nam : nhiễm khuẩn ngoài da:60%

Nhiễm khuẩn hầu họng 40%

  1. Triệu chứng lâm sàng: Phù, đái máu, tăng huyết áp, thiểu niệu vô niệu

Phù

  • Phù nhẹ, trung bình
  • Vị trí phù: mí mắt, hai chân, mặt. Do tại đây tổ chức liên kết lỏng lẻo
  • Phù tăng về sáng, giảm dần về chiều. Vì đêm bệnh nhận không đi tiểu, thận hạn chế lọc, tăng thể tích ngoại bào dẫn đến phù, bệnh nhân tưởng khỏi, không quan tâm nữa
  • Ăn nhạt giảm phù do giảm giữ muối nước
  • Phù trắng, mềm, ấn lõm. Do phù chủ yếu là nước
  • Cơ chế: Phức hợp miễn dịch lắng đọng ở cầu thận, hoạt hóa bổ thể, bạch cầu, gây xảy ra phản ứng viêm, màng đáy bị tổn thương, giảm mức lọc cầu thận, do đó ứ nước ở khoảng gian bào, gây phù
    phù

Đái ra máu

  • Đái ra máu đại thể: nước tiểu màu như nước rửa thịt toàn bãi, xuất hiện sớm, biến mất sau 10 ngày
  • Đái máu vi thể: nước tiểu có hồng cầu, kéo dài 3-6 tháng

Cơ chế: Màng đáy bị tổn thương, màng lọc thay đổi kích thước lọc, thay đổi tính thấm, hồng cầu bị lọt qua màng lọc, nên xuất hiện trong nước tiểu

Thiểu niệu vô niệu

  • Thiểu niệu: số lượng nước tiểu giảm <400ml/24h khi lượng nước đưa vào cơ thể vẫn bình thường
  • Vô niệu: số lượng nước tiểu <100ml/24h khi lượng nước đưa vào cơ thể bình thường

Vô niệu lâu ngày gây suy thận cấp

Nguyên nhân: do giảm mức lọc cầu thận

Tăng huyết áp

  • Tăng huyết áp tâm thu và huyết áp tâm trương
  • Có thể gây tăng huyết áp kịch phát
  • Cơ chế gây tang huyết áp:

Huyết áp=Cung lượng tim*sức cản ngoại vi

Khi màng lọc cầu thận bị tổn thương, giảm khả năng lọc cầu thận, ứ nước ở khoảng gian bào, dẫn đến thể tích tuần hoàn hiệu dụng giảm, và dòng máu đến thận giảm, kích thích phức hợp cạnh cầu thận tiết renin, từ đó hoạt hóa angiotensin I, II, gây co mạch tăng sức cản ngoại vi. Mặt khác khi giảm dòng máu đến thận sẽ hoạt hóa aldosterol gây tăng giữ Natr, nước ở ống lượn xa và ống góp, gây tăng cung lượng tim

Như vậy huyết áp tăng.

  1. Triệu chứng cận lâm sàng

Xét nghiệm nước tiểu

  • Protein :2-3g/24h không chọn lọc
  • Hồng cầu niệu
  • Trụ hồng cầu, trụ mỡ, trụ sáp, trụ tế bào

Xét nghiệm máu

  • Thiếu máu nhẹ ( do hồng cầu lọt qua màng lọc cầu thận đi xuống nước tiểu)
  • Ure, creatinin bình thường hoặc tăng tùy theo tình trạng suy thận
  • Tốc độ máu lắng do viêm
  • C3 bổ thể giảm do tập trung ở thận

Xét nghiệm nhiễm liên cầu khuản

Kháng thể kháng liên cầu tăng

ASLO: dễ tìm nhất, ASK, AHL: tăng trong máu

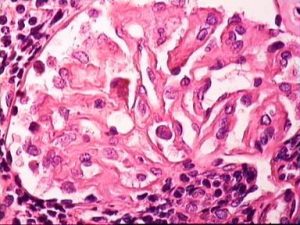
Sinh thiết thận: tiêu chuẩn vàng để chẩn đoán

  • Tăng sinh lan tỏa tế bào nội mô và giãn mạch
  • Xâm nhiễm bạch cầu đa nhân, bạch cầu mono trong bó mao mạch
  • Có lắng đọng hình gò dưới biểu mô, dưới nội mô và trong khoang gian mạch cầu thận.
    sinh thiết thận

Chẩn đoán

  • Lâm sàng: phù, đái máu, vô niệu, thiểu niệu, huyết áp cao
  • Xét nghiệm: pr 2-3g/24h; hồng cầu niệu, đây là 2 tiêu chuẩn bắt buộc
  • ALSO(+)
  • Thời gian mắc bệnh <6 tháng (Pr niệu)
  1. Điều trị

Chế độ nghỉ ngơi đặc biệt quan trọng

  • Nghỉ ngơi hoàn toàn tại giường trong giai đoạn bệnh tiến triển
  • Tránh hoạt động gắng sức 3-6 tháng hoặc đến khi protein niệu
  • Tránh nhiễm khuẩn, nhiễm bệnh

Chế độ ăn uống

  • Giảm muối trong giai đoạn tiến triển
  • Hạn chế đạm, các loại thức ăn chứa kali nếu có suy thận
  • Lương nước đưa vào hàng ngày=khả năng lọc: lượng nước tiểu +50ml

Các thuốc:

  • Điều trị nguyên nhận: penicilin G; Erythromycin
  • Điều trị triệu chứng:

+ phù

+huyết áp cao

+suy tim, suy thận.

Để lại một bình luận

Email của bạn sẽ không được hiển thị công khai. Các trường bắt buộc được đánh dấu *


0889.070.496